
Composite Restorations
What are cavities?
Cavities are permanently damaged areas in the hard surface of your teeth that develop into tiny openings or holes. Cavities, also called tooth decay or caries, are caused by a combination of factors, including bacteria in your mouth, frequent snacking, sipping sugary drinks and not cleaning your teeth well.
Cavities and tooth decay are among the world's most common health problems. They're especially common in children, teenagers and older adults. But anyone who has teeth can get cavities, including infants.
If cavities aren't treated, they get larger and affect deeper layers of your teeth. They can lead to a severe toothache, infection and tooth loss. Regular dental visits and good brushing and flossing habits are your best protection against cavities and tooth decay.
What are dental restorations?
Indirect ceramic inlay-type restoration made on die in lab and cemented in patient’s mouth
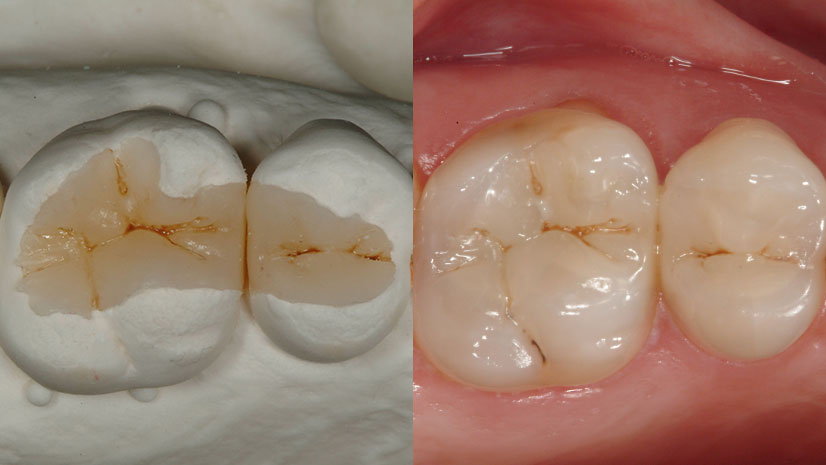
Direct composite restoration
Rebuilding the tooth structure that has been lost due to decay or fracture, back to its original form and function using composite resin or ceramic material is called restoration. Many dentists can do “fillings” but only few trained dentists can sculpt a tooth back to its original natural shape. This procedure requires time, great skill and a trained hand.
What choices do I have in dental restorations?
You have 2 main choices – direct or indirect.
Direct restorations is when a dentist cleans tooth decay and “fills” up cavity using composite resin directly in the mouth of the patient. This is a single-appointment procedure. The results are excellent and the patient is expected to visit dentist every 6 months for follow-ups and polishing of restoration to increase its longevity.
Crowns & Roots dental clinic uses composite resin for natural tooth-like fillings. We are an amalgam-free clinic, because the mercury in amalgam leaches out and may cause toxicity.
Indirect restorations – include inlays and onlays. These are done when a lot of tooth surface is lost because of large cavity or fracture; or after root canal treatment. In this case,in the first visit, the dentist removes the tooth decay; smooths and prepares the cavity and makes a putty or digital impression. The impression is sent to the dental lab which manufactures metal or ceramic restorations. In the 2nd sitting; this lab-made restoration is cemented in the patient’s mouth
These indirect restorations are longer lasting and more precisely fabricated (as they are sculpted outside the patient’s mouth). In large cavities and defects, direct restorations are weaker and do not last. Thus, indirect restorations can be given in these cases.
Which Type of Filling is Best?
No one type of filling is best for everyone. What's right for you will be determined by the extent of the repair, whether you have allergies to certain materials, where in your mouth the filling is needed, and the cost.
How Do I Know if I Need a Filling?
Only your dentist can detect whether you have a cavity that needs to be filled. During a checkup, your dentist will use a small mirror to examine the surfaces of each tooth.
Anything that looks abnormal will then be closely checked with special instruments. Your dentist may also X-ray your entire mouth or a section of it. The type of treatment your dentist chooses will depend on the extent of damage caused by decay.
Why should you get dental restorations done?
One should get fillings done at the first sign of decay. By doing this, you halt the process of further decay and make the tooth healthy again. Not getting cavities filled in time results in tooth pain and eventual root canal treatment and even crowns, which is 5-8 times more expensive and causes greater tooth damage!
A filling in time saves nine!
When to Replace an Old Dental Restoration?
Tooth restorations usually last for many years before they need to be replaced. But tooth fillings can wear out over years of chewing. If you clench or grind your teeth, you may need to have tooth fillings replaced sooner.
If you notice signs of wear on your tooth fillings, such as cracks or worn areas, see your dentist to have the filling replaced as soon as possible. Continuing to chew with a damaged filling can cause the tooth to crack and require additional repair that is more expensive and more complicated than a simple cavity filling. If additional tooth decay develops around a filling, whether or not the filling is damaged, your dentist may choose to repair the tooth with a crown instead of a second cavity filling.
