
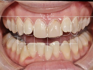
Smile Designing
Crooked, broken, discolored yellow teeth; spaces in teeth, gummy smiles….all these problems make you lose your confidence. A bright, confident smile is the key to a successful person.
We at Crowns & Roots are Smile Design specialists…we can transform your smile to a new healthy and beautiful smile that you want and that you deserve.
Smile Designing is a smile makeover using one or more speciality procedures – Composite restorations, teeth whitening, laminates and veneers, crowns, gum surgeries, braces or even orthognathic surgery and implants. People suffering from dental problems like tooth decaying, tooth loosening, stains, and bacterial plaque usually opt for this makeover treatment. Some factors taken into consideration for this treatment include: facial appearance and skin tone, gum tissues and lips.The result – a new improved smile that will change the way you look, feel and behave!
If you are unhappy with your smile, do not hesitate to book an appointment to discuss the treatment options. We will take photographs, Xrays and impressions on the first visit. Our team of experts headed by Dr Janhavi Naik will thoroughly analyze your smile and create digital mock-ups of the desired improved smile. In your second visit…the treatment options, procedures and cost estimates will be explained to you. A mock-up of your final result will be showed to you digitally or by using temporary intraoral materials. Do not worry…we will give you several options to suit your desire and budget. Once you are satisfied…we will change your smile for you!
Some problems that can be corrected by smile design treatment
